Descripción
Limpiador de ultrasonidos Q5
Disfruta de un tratamiento sin dolor
- Atractivo diseño clásico en color negro y blanco.
- Ajuste de potencia (100-800 Mn).
- 3 modos de funcionamiento:
Limpieza general, Tratamiento periodontal, Tratamiento endodóntico. - Suministro automático de agua desde una botella integrada en el aparato.
- Panel de control impermeable:
– Pantalla táctil ultrasensible que permite cambiar entre modos G/P/E con un solo toque.
– 12 niveles de potencia.
– Limpieza extremadamente sencilla. - Tanque de agua de gran capacidad:
– Capacidad de 800 ml (suficiente para al menos dos pacientes)
– Bomba de agua de máxima calidad.
– Tubos antibacterianos, compatibles con agua destilada y soluciones desinfectantes. - Incluye pedal Inalámbrico IPX4: Elimina enredos de cables.
TECNOLOGÍA DE ONDA SINUSOIDAL
Evita el impacto instantáneo que produce la onda cuadrada tradicional, proporcionando una amplitud estable y vibraciones regulares y potentes. Eficiencia y comodidad para una limpieza dental sin dolor.
- Dureza de la punta de trabajo: 30 HRC
- Frecuencia de vibración: 25-35 kHz
- Amplitud: 20-80 μm
- Profundidad de tratamiento: 14 mm
PIEZA DE MANO CON ILUMINACIÓN LED DE ALTA CALIDAD
- Diseño desmontable para esterilización.
- Compatible con esterilización a alta temperatura y presión.
- Luz con tonalidad que mejora la visibilidad.
![]() |
PUNTAS DE ALEACIÓN DE TITANIO
Puntas periodontales de baja dureza que no dañan los dientes. Durezas comparativas:
|
![]() |
PUNTA DE LIMPIEZA P16
|
![]() |
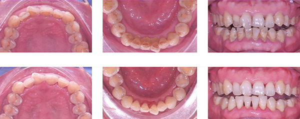
RESULTADOS DE LIMPIEZA
Antes y después del tratamiento y la limpieza. |
![]() |
COMPARACIÓN ENTRE ONDA SINUSOIDAL Y ONDA CUADRADA TRADICIONAL
Gráfico de onda sinusoidal Gráfico de onda cuadrada (limpiador tradicional) |











